Fale Comigo
Whatsapp

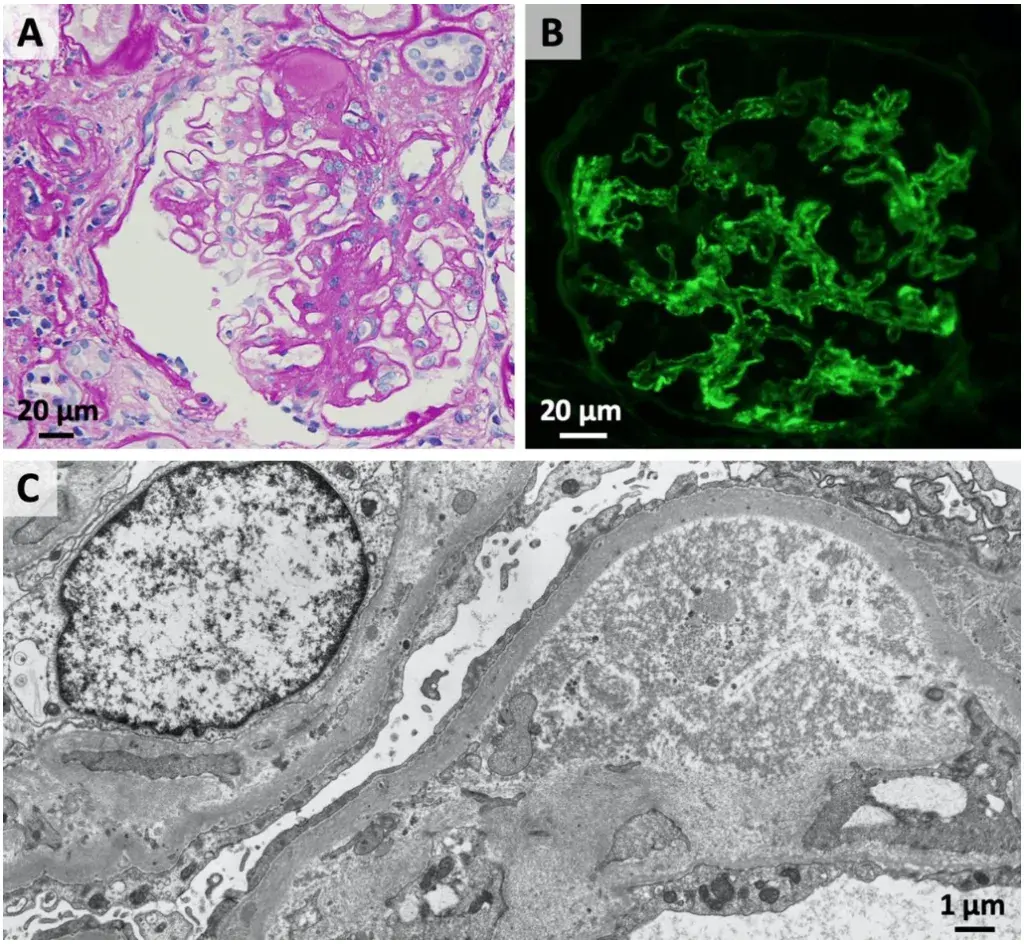
glomerulopatias imagens nefrite-lupica

Proteinúria refratária em paciente com Nefrite Lúpica

Valkercyo Feitosa

2023-07-04

Recomendação de posts Nefroupdates